dislodged-tooth-155x300-1

Dental Trauma: What You Need to Know

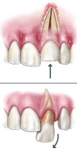
Dental trauma refers to injuries to the teeth, gums, or surrounding bone caused by accidents, falls, or sports-related impacts. These injuries can range from minor chips to severe damage involving the tooth's root and nerve.

When trauma affects the inner pulp or root of a tooth, it may lead to infection, discoloration, or long-term complications if not treated promptly. As a board-certified endodontist, I specialize in evaluating and treating dental trauma - especially cases that may require root canal therapy to save the natural tooth.

If you or your child experiences a dental injury, it's important to schedule an evaluation as soon as possible. Early treatment can often prevent pain, infection, and tooth loss.